| |
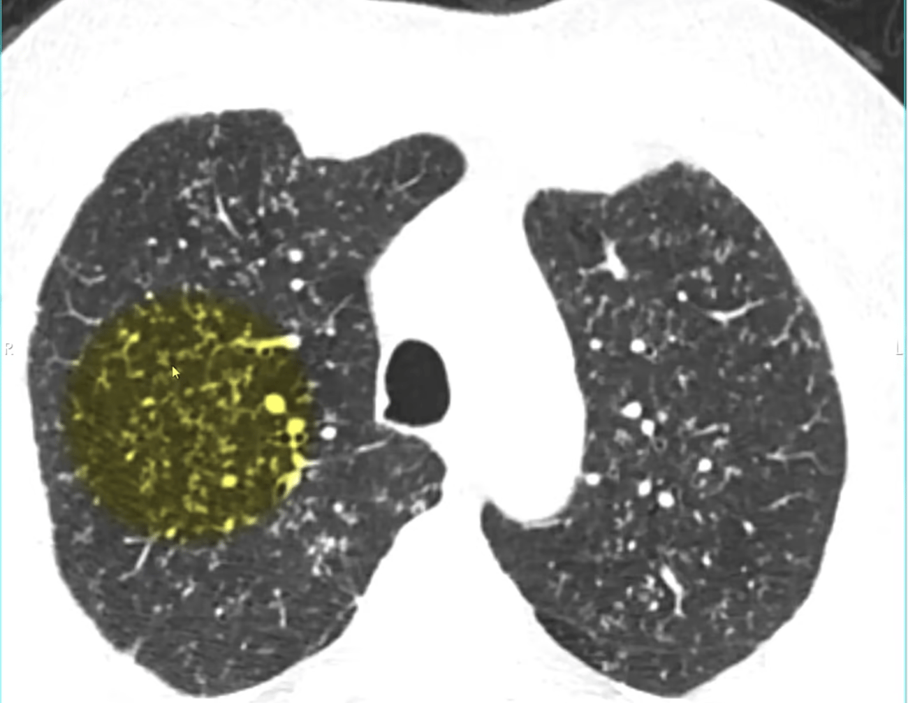
| | | History: Elderly man who presented with hematuria.
TIPS: Launch the DICOM study and complete your independent review of the case in our diagnostic web viewer. Keep the DICOM study open while you watch Dr. Scott Simpson review the case. We suggest popping the DICOM viewer open in a new window and viewing side by side with the video on your screen. | | | | |
 | CYBER MONDAY SALE EXTENDED! | | Our biggest sale of the year just got bigger. Renew, upgrade, or buy during our Cyber Monday Sale to receive up to $1,100 credit toward any of our Fellowship Certificate™ Programs or the All-Fellowship Pass. | | REVIEW DEALS HERE | | | | |
| Medality is accredited by the Accreditation Council for Continuing Medical Education (ACCME) to provide continuing medical education for physicians.
Sent to junelesley@gmail.com
| | Edit your email preferences or unsubscribe.
Unsubscribe
| | Medality, 1216 Central Pkwy, Cincinnati, OH 45202-7509, United States
| | |
0 Comments:
Post a Comment
<< Home